Die Beschälseuche (Synonyme Dourine, Polyneuritis infectiosa, Schankerseuche) ist eine Deckseuche des Pferdes. Sie gehört zu den anzeigepflichtigen Tierseuchen. Esel können ebenfalls Infiziert sein, zeigen aber keine typischen Symptome.
Nach einer Inkubationszeit von 2 bis 26 Wochen treten die klinischen Symptome, Ödeme, Quaddeln („Talerflecke“) und Geschwüre, auf der Genitalschleimhaut auf, die später zu unpigmentierten Narben werden („Krötenflecke“).
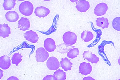
Verursacht durch Trypanosoma equiperdum ist die Dourine eine klassische Deckinfektion, die heute nur noch in Südost- und Osteuropa Bedeutung hat. Die Übertragung erfolgt nahezu ausschließlich beim Deckakt oder durch künstliche Samenübertragung. Selten ist es auch möglich, dass die Krankheit über blutsaugende Insekten übertragen wird.
Eine Therapie ist derzeit nicht möglich. Betroffene Tiere müssen nach der Tierseuchengesetzgebung in Deutschland nach Anweisung des Amtstierarztes getötet werden. Aus dem europäischen Ausland dürfen Equiden nur mit negativem Antikörperbefund importiert werden.
In Österreich dürfen erkrankte, seuchen- oder ansteckungsverdächtige Tiere nicht belegt werden, Stuten dürfen selbst nach Ausheilung nicht weiter zur Zucht verwendet werden, sondern müssen an der linken Halsseite mit den Buchstaben B. K. gekennzeichnet werden (§ 37 TSG).
In der Schweiz gilt die Beschälseuche als eine auszurottende und somit meldepflichtige Tierseuche.
Quellen
Weblinks
- Nationales Referenzlabor für Beschälseuche - Bundesforschungsinstitut für Tiergesundheit




